Рассрочка
Наши работы
О клинике
Врачи
+998 73 249 8787
г. Фергана ул. А.Навоий 78/А
Ru
Uz
Ru
Uz
Рассрочка
Наши работы
О клинике
Врачи
+998 73 249 8787
________
г. Фергана ул. А.Навоий 78/А
________
Uz
Ru
Имплантация зубов в Фергане в рассрочку без переплат
Запишитесь на консультацию имплантолога по акции
Нажимая на кнопку, вы даете согласие на обработку персональных данных и соглашаетесь c
политикой конфиденциальности
[{"lid":"1672132345475","ls":"10","loff":"","li_type":"nm","li_ph":"\u0412\u0432\u0435\u0434\u0438\u0442\u0435 \u0432\u0430\u0448\u0435 \u0438\u043c\u044f","li_nm":"Name"},{"lid":"1672132345476","ls":"20","loff":"","li_type":"ph","li_ph":"\u0412\u0432\u0435\u0434\u0438\u0442\u0435 \u0432\u0430\u0448 \u043d\u043e\u043c\u0435\u0440 \u0442\u0435\u043b\u0435\u0444\u043e\u043d\u0430","li_req":"y","li_masktype":"a","li_maskcountry":"UZ","li_nm":"Phone"}]
Приходите на консультацию, на которой врач проведёт осмотр, расскажет о состоянии ваших зубов и рассчитает точную стоимость имплантации.
Чтобы воспользоваться акцией, укажите ваше имя и телефон в форме ниже. Администратор позвонит вам и подберёт удобное время для консультации.
Стоимость: 0 сум
до конца месяца.
Установка импланта за 1 посещение
Специализируемся на имплантации более 10 лет
Пожизненная гарантия на импланты
Лечение без боли с качественной анестезией
В каких случаях нужна имплантация
Грамотно проведённая имплантация возвращает полноту зубного ряда и предотвращает атрофию костной ткани.
Отсутствие одного зуба
Отсутствие нескольких зубов
Отсутствие всех зубов
При частичной или полной адентии имплантация избавляет от неэстетичного вида зубов и проблем с принятием пищи.
Импланты служат опорой всех зубов, возвращают их функциональность и привлекательность улыбки.
Этапы лечения
Перед каждой имплантацией мы проводим полное обследование у нас в клинике. После чего составляется комплексный план лечения.
Установка импланта
Включена стоимость импланта, работа врача-хирурга высшей категории и все необходимые материалы.
Формирование десны
Установка формирователя помогает подготовить десну к успешной установке будущего искусственного зуба.
Снятие слепков
Осуществляется техническое изготовление индивидуальных структур на устанавливаемый имплант.
Закрепление коронки
Включает фиксацию изготовленной коронки из металлокерамики, работу врача-ортопеда.
1
2
3
4
Нажимая на кнопку, вы даете согласие на обработку персональных данных и соглашаетесь c
политикой конфиденциальности
Ответьте на вопросы и узнайте стоимость
Заполните поля ниже, чтобы врач подобрал для вас вид и способ имплантации и рассчитал ориентировочную стоимость лечения.
[{"lid":"1669883935891","ls":"10","loff":"","li_type":"sb","li_title":"\u0421\u043a\u043e\u043b\u044c\u043a\u043e \u0437\u0443\u0431\u043e\u0432 \u043f\u043b\u0430\u043d\u0438\u0440\u0443\u0435\u0442\u0435 \u0434\u0435\u043b\u0430\u0442\u044c?","li_variants":"1 \u0437\u0443\u0431\n2 \u0437\u0443\u0431\u0430\n3-4 \u0437\u0443\u0431\u0430\n\u0412\u0435\u0440\u0445\u043d\u044f\u044f \u0438\u043b\u0438 \u043d\u0438\u0436\u043d\u044f\u044f \u0447\u0435\u043b\u044e\u0441\u0442\u044c\n\u0412\u0441\u0435 \u0437\u0443\u0431\u044b","li_nm":"\u0421\u043a\u043e\u043b\u044c\u043a\u043e \u0437\u0443\u0431\u043e\u0432 \u043f\u043b\u0430\u043d\u0438\u0440\u0443\u0435\u0442\u0435 \u0434\u0435\u043b\u0430\u0442\u044c"},{"lid":"1669883935892","ls":"20","loff":"","li_type":"sb","li_title":"\u0415\u0441\u0442\u044c \u043b\u0438 \u0443 \u0432\u0430\u0441 \u043f\u0430\u0440\u043e\u0434\u043e\u043d\u0442\u043e\u0437?","li_variants":"\u0414\u0430\n\u041d\u0435\u0442\n\u041d\u0435 \u0437\u043d\u0430\u044e","li_nm":"\u0415\u0441\u0442\u044c \u043b\u0438 \u0443 \u0432\u0430\u0441 \u043f\u0430\u0440\u043e\u0434\u043e\u043d\u0442\u043e\u0437"},{"lid":"1669883935893","ls":"30","loff":"","li_type":"sb","li_title":"\u041a\u0430\u043a \u0434\u0430\u0432\u043d\u043e \u0443\u0434\u0430\u043b\u044f\u043b\u0438 \u0437\u0443\u0431\u044b?","li_variants":"\u041c\u0435\u0441\u044f\u0446 \u043d\u0430\u0437\u0430\u0434\n\u041f\u043e\u043b \u0433\u043e\u0434\u0430 \u043d\u0430\u0437\u0430\u0434\n\u0413\u043e\u0434 \u043d\u0430\u0437\u0430\u0434\n\u041d\u0435 \u0443\u0434\u0430\u043b\u044f\u043b(\u0430)","li_nm":"\u041a\u0430\u043a \u0434\u0430\u0432\u043d\u043e \u0443\u0434\u0430\u043b\u044f\u043b\u0438 \u0437\u0443\u0431\u044b"},{"lid":"1669883935894","ls":"40","loff":"","li_type":"ph","li_title":"\u0412\u0430\u0448 \u043d\u043e\u043c\u0435\u0440 \u0442\u0435\u043b\u0435\u0444\u043e\u043d\u0430","li_ph":"998 00 000 0000","li_req":"y","li_masktype":"a","li_maskcountry":"UZ","li_nm":"Phone"}]
Оплатите все услуги
в рассрочку без переплат!
В нашей клинике вы можете оплатить все услуги имплантации в рассрочку без переплат, а так же воспользоваться кредитом от банка-партнера.
Узнать подробнее
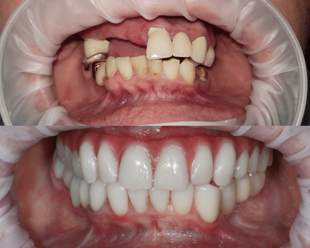
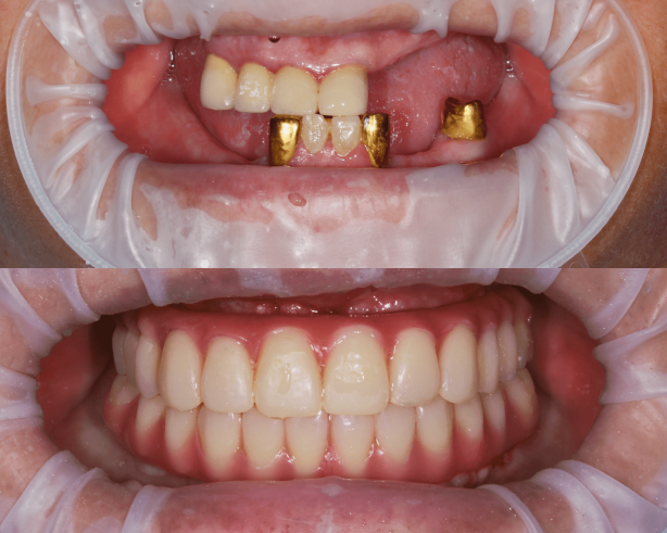
Наши врачи провели более 300 имплантаций
Салихова Л.Г. — 34 года
Комплексное лечение + имплантация
До
После
Сулейманов О.М. — 45 лет
Комплексное лечение + имплантация
До
После
Тажиева А.А. — 41 год
Имплантация зуба № 11
До
После
Каримова У.М. — 56 лет
Имплантация зуба № 21
До
После
Матмуродова М.Ф. — 36 лет
Имплантация зубов №12 и №22
До
После
Саипов Т.М. — 54 года
Комплексное лечение + имплантация
До
После
В нашей клинике всегда чисто и уютно
Врачи клиники
В нашей клинике работают высоко квалифицированные специалисты. Забота, чуткость и профессионализм — на этих принципах строится работа нашего коллектива.
Владелец клиники Dentimo dental clinic, врач-стоматолог, хирург, ортопед, имплантолог
Охунжонов Илёсжон Маъмурович
Врач-стоматолог, терапевт, ортопед
Турсунов Баходиржон Махамадалиевич
Врач-стоматолог, ортодонт
Тухтасинов Аббосбек Тулкинжонович
Врач-стоматолог, ортопед, ортодонт, гнатолог
Маъмуров Хумоюнхужа Илёсжонович
Рузимаматова Дилбархон Гуламжановна
Врач-стоматолог, терапевт
Каримов Сардорбек Музаффарович
Врач-стоматолог, терапевт, ортопед
Маманазаров Муслимхужа Музаффарович
Врач-стоматолог, хирург, ортопед
Комилов Фирдавс Музаффарович
Врач-стоматолог, терапевт-микроскопист
Собиров Ахрорхон Махмудхонович
Врач-стоматолог, ортодонт
Задайте вопрос
В этой форме вы можете написать любой вопрос, который вас интересует. Мы ответим в течение 5-10 минут.
[{"lid":"1670583660114","ls":"10","loff":"y","li_type":"nm","li_title":"\u0415\u0441\u0442\u044c \u043b\u0438 \u0443 \u0432\u0430\u0441 \u043f\u0430\u0440\u043e\u0434\u043e\u043d\u0442\u043e\u0437?","li_ph":"\u0412\u0432\u0435\u0434\u0438\u0442\u0435 \u0432\u0430\u0448\u0435 \u0438\u043c\u044f","li_nm":"Name"},{"lid":"1670583660115","ls":"20","loff":"","li_type":"ta","li_title":"\u0412\u0430\u0448 \u0432\u043e\u043f\u0440\u043e\u0441","li_rows":"3","li_nm":"\u0412\u0430\u0448 \u0432\u043e\u043f\u0440\u043e\u0441"},{"lid":"1670583660116","ls":"30","loff":"","li_type":"ph","li_title":"\u0412\u0430\u0448 \u043d\u043e\u043c\u0435\u0440 \u0442\u0435\u043b\u0435\u0444\u043e\u043d\u0430","li_ph":"998 00 000 0000","li_req":"y","li_masktype":"a","li_maskcountry":"UZ","li_nm":"Phone"}]
Нажимая на кнопку, вы даете согласие на обработку персональных данных и соглашаетесь c
политикой конфиденциальности
Все страницы
Протезирование «All on 4» и «All on 6»
Коронки
Лечение зубов
Телефон для записи
+998 73 249 8787
Адрес клиники
г. Фергана
ул. А.Навоий 78/А
+998 73 249 8787
Удаление зубов
Отбеливание
Режим работы
Пн-сб — с 09:00 до 18:00
Обед — с 13:00 до 14:00
Вс — выходной
Брекеты
Имплантация
Клиника использует систему менеджмента и качества от консалтинговой компании
Demokrat
Политика конфиденциальности
ООО «DENTIMO MEDICAL»
—
ИНН: 300823178
—
Дарма — продвижение стоматологий
Лицензия на осуществление медицинской деятельности
Обратный звонок
Заполните поля ниже и наш администратор перезвонит в течение 5 минут, чтобы записать вас на прием и ответить на интересующие вас вопросы.
Вернуться назад
Нажимая на кнопку, вы даете согласие на обработку персональных данных и соглашаетесь c
политикой конфиденциальности
[{"lid":"1671112094314","ls":"10","loff":"","li_type":"nm","li_ph":"\u0412\u0432\u0435\u0434\u0438\u0442\u0435 \u0432\u0430\u0448\u0435 \u0438\u043c\u044f","li_nm":"Name"},{"lid":"1671112094315","ls":"20","loff":"","li_type":"ph","li_ph":"\u0412\u0432\u0435\u0434\u0438\u0442\u0435 \u0432\u0430\u0448 \u043d\u043e\u043c\u0435\u0440 \u0442\u0435\u043b\u0435\u0444\u043e\u043d\u0430","li_req":"y","li_masktype":"a","li_maskcountry":"UZ","li_nm":"Phone"}]
Узнать подробнее
Заполните поля ниже и наш администратор перезвонит в течение 5 минут, чтобы ответить на интересующие вас вопросы о вариантах оплаты лечения.
Вернуться назад
Нажимая на кнопку, вы даете согласие на обработку персональных данных и соглашаетесь c
политикой конфиденциальности
[{"lid":"1671112094314","ls":"10","loff":"","li_type":"nm","li_ph":"\u0412\u0432\u0435\u0434\u0438\u0442\u0435 \u0432\u0430\u0448\u0435 \u0438\u043c\u044f","li_nm":"Name"},{"lid":"1671112094315","ls":"20","loff":"","li_type":"ph","li_ph":"\u0412\u0432\u0435\u0434\u0438\u0442\u0435 \u0432\u0430\u0448 \u043d\u043e\u043c\u0435\u0440 \u0442\u0435\u043b\u0435\u0444\u043e\u043d\u0430","li_req":"y","li_masktype":"a","li_maskcountry":"UZ","li_nm":"Phone"}]
Content Oriented Web
Make great presentations, longreads, and landing pages, as well as photo stories, blogs, lookbooks, and all other kinds of content oriented projects.
Made on
Tilda